Embolisation des fibromes utérins
La pathologie
Le fibrome utérin (ou myome utérin) est une tumeur bénigne de l'utérus issue de cellules musculaires lisses.
La fréquence augmente avec l'âge (20-30% chez la femme de 30 ans, 40% à 40 ans...). La croissance des myomes s'arrêtent à la ménopause avec une diminution en taille par la suite.
Le fibrome utérin peut se former dans plusieurs régions de l'utérus (classification FIGO): au sein de la paroi de l'utérus (myomètre), dans la cavité intra-utérine (intra cavitaires ou sous-muqueux) ou vers l'extérieur (sous-séreux).
Les symptômes sont donc variables en fonction du nombre, de la taille et de la localisation des fibromes, et sont présents chez 20 à 50 % des patientes :
Ménorragies (= saignements abondants et prolongés pendant les règles, pouvant aller jusqu'à l'anémie)
Pesanteur ou douleur pelvienne
Compression abdominale ou pelvienne (vessie ou tube digestif)
Troubles de la fertilité
A l’aide d’un abord vasculaire artériel, il est délivré directement au sein des artères nourrissant les fibromes de l'utérus (artères issues des artères utérines) des microparticules qui vont permettre une réduction la vascularisation et de l’apport sanguin au sein des fibromes.
L'objectif est d'obtenir une nécrose ischémique définitive des myomes, tout en préservant le myomètre sain.
Cette procédure se déroule sous anesthésie locorégionale (rachianesthésie) ou anesthésie générale, avec l'aide de l'équipe de médecins Anesthésistes.
Principe scientifique
Schéma fiche info patient de la Société Française de radiologie : https://www.radiologie.fr/sites/www.radiologie.fr/files/medias/documents/Fiche_info_patient_Embolisation_fibrome_MAJ-Nov-21.pdf


Chaque patiente est reçue individuellement en consultation pour confirmer le diagnostique et l'indication de la procédure.
Nous travaillons en collaboration avec les gynécologues et chirurgiens, pour pouvoir choisir la technique la plus adaptée à votre situation. En effet, certains fibromes relèvent d'une ablation chirurgicale ou endo-cavitaire mini-invasive par l'équipe de gynécologie, sans forcément avoir recours au traitement chirurgical classique par hystérectomie.
Il vous sera demander d'apporter en consultation vos examens d'imagerie déjà réalisés (échographie pelvienne ou IRM), et éventuellement une lettre d'adressage de votre professionnel de santé référent (Médecin Gynécologue, Médecin Généraliste, Sage-femme...).
La consultation permettra de voir si vous êtes éligible à la procédure d'embolisation, de dépister d'éventuelles contre indications, et enfin de compléter le bilan pré-opératoire si nécessaire.
Dans un second temps, une consultation avec l'équipe d'Anesthésie sera également organisée en amont de la procédure pour organiser et choisir la procédure d'anesthésie la plus adaptée à votre cas.
La consultation pré-interventionnelle
Amélioration des symptômes chez 80 à 90 % des patients
Amélioration de la qualité de vie et satisfaction des patientes dans plus de 90% des cas.
L’efficacité est progressive et retardée, maximum entre 6 à 12 mois après la procédure.
Diminution du volume en taille de l'utérus et du fibrome sur l'IRM de contrôle à 3 mois (entre -45 et -60% pour le fibrome dominant).
Technique mini-invsasive avec durée d'hospitalisation réduite (1 nuit).
Efficacité et avantages de la technique
La procédure se déroule en salle de radiologie interventionnelle, dans un bloc opératoire.
La patiente est allongé sur la table d’opération, avec la machine permettant de faire les images au-dessus d'elle.
Dans un premier temps, vous serez pris en charges par l'équipe d'Anesthésie, permettant une gestion optimale de la douleur pendant et après la procédure.
Dans un deuxième temps, le radiologue réaliser une anesthésie locale du point de ponction au niveau de la jambe, puis un cathéter est inséré dans l’artère. La navigation dans le corps est indolore.
Déroulement de la procédure




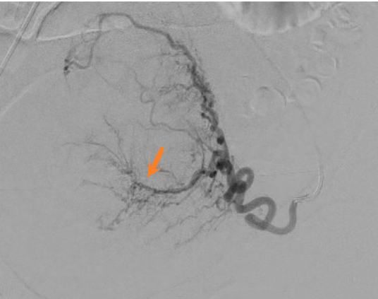
Image d'artériographie d'une procédure d'embolisation utérine du côté droit et gauche chez une même patiente.
Les formations tubulées noires correspondants aux artères et vaisseaux sanguins telles que visualisées par le radiologue interventionnel lors de l'injection de produit de contraste.
On individualise successivement le cathéter permettant l'injection du produit (flèche noire), l'artère utérine (flèche rouge) avec visualisation d'un des fibromes utérines à traiter chez cette patiente (flèche orange) sous forme d'un réseau artériel en arc de cercle.
Le cathéter est ensuite placé sélectivement dans l’artère de l'utérus (artère utérine), puis les microparticules sont injectées dans la circulation sanguine utérine et du fibrome à travers le cathéter. Cette étape est réalisée à droite puis à gauche.
Enfin, le matériel et retiré et un pansement est appliqué au point de ponction pour éviter tout saignement.
La durée totale de la procédure est entre 1h et 2h.


Syndrome post embolisation = réaction attendue après la procédure, mais d'intensité variable selon les patientes et associant:
Douleurs pelviennes parfois intense
Fièvre, nausées
Fatigue
Cette réaction peut durer jusque 7 jours après la procédure, mais est généralement bien contrôlée par les traitements médicamenteux (antalgiques et anti-inflammatoires) ainsi que par le repos transitoire (un arrêt de travail sera fournis si nécessaire).
Aménorrhées (= absence de règles).
Ecoulement vaginal en lien avec l'expulsion et l'évacuation des débris du fibrome.
Anomalies du point de ponction artériel : un repos relatif pendant 5 jours et l'interdiction de port de charge lourde sera à respecter pendant 48h pour éviter un saignement au point de ponction artériel.
Complications en lien avec l'anesthésie.
Effets indésirables potentiels
La durée d’hospitalisation est d’une nuit : la patiente rentre à l’hôpital de Valenciennes le jour de la procédure, et le retour à domicile se fait le lendemain matin.
Des ordonnances sont remises avec une prescriptions d’antalgiques et d'anti-inflammatoires pendant quelques jours pour limiter le syndrome post embolisation.
Une IRM et une consultation de suivi est programmée à 3 mois. La consultation de suivi peut se faire par téléphone pour les patientes venant de loin : Lille ou sa métropole, Boulogne-sur-Mer, Dunkerque...
Encadrement du geste et hospitalisation
Contacts :
e-mail : sec-imagerieinterven@ch-valenciennes.fr
Pour en savoir plus : https://www.ch-valenciennes.fr/
tel : 03 27 14 04 31